世話人

事業計画

研修会・セミナー

実技講習会

学術集会

ベスト・イメージング・コンテスト



 

ザ・ベストイメージング・コンテスト優秀作品

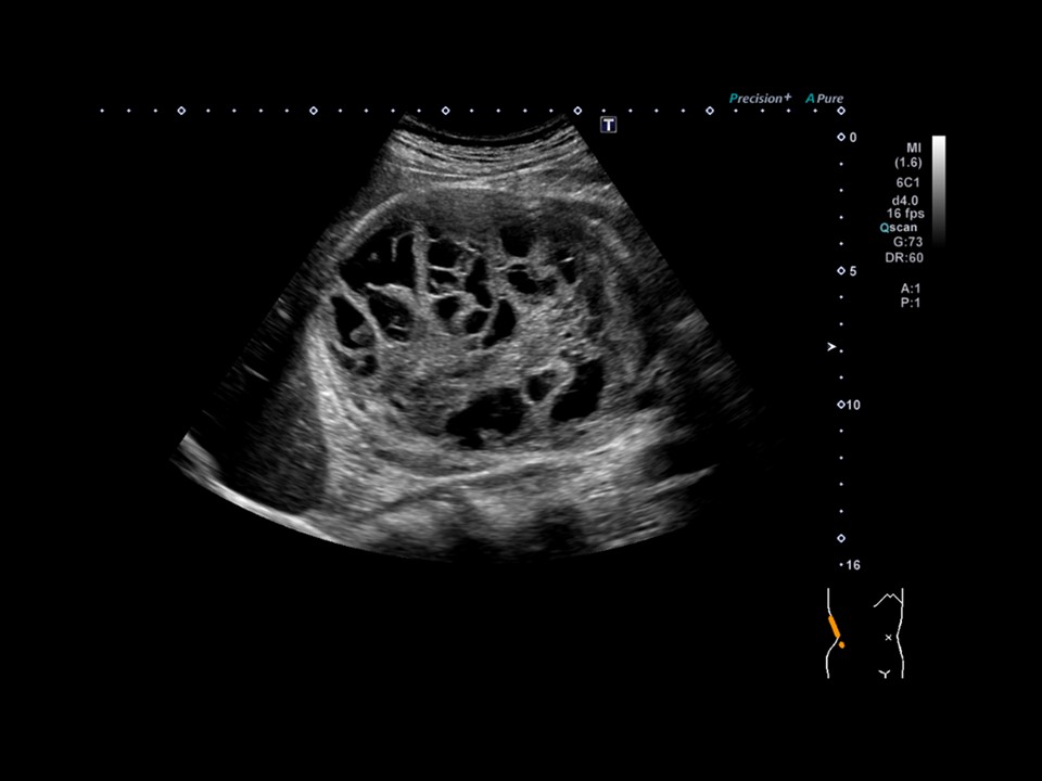
第16回 2025年

最優秀賞
 
 
片山 和弥 九段坂病院 放射線科

診断名SPN(充実性偽乳頭状腫瘍)
患者:20歳代 女性
使用機種:
Canon Xario 200
周波数:3.8 MHzコメント(術者の一言)
 あえてスペックの低い機器で記録しました。条件設定しだいで、ここまで綺麗に腫瘤内部の充実部分と嚢胞状の混在が描出出来ました


優秀賞
 
 
志村 聡子 山王健診センター

診断名:腎癌(腎盂腎癌)
患者:60歳代 男性
使用機種:
Canon Aplio i600
周波数:3.75MHz
コメント(術者の一言)
 
多数の隔壁を意識し記録しました。特に厚くなっている部分にフォーカスをあてました。無エコー部分と充実部分のコントラストを描出するのに苦慮しました。


特別賞
 
 
本間 めぐみ 日本大学病院

診断名肝門部領域胆管癌
患者:80歳代 男性
使用機種:
GE HealthCare LOGIQ E10
周波数:6.5MHz
コメント(術者の一言)
 
肝内胆管の泣き別れを綺麗に描出できました。



この Web サイトに関するご質問やご感想などについては  kensa.gazou@kanto-ctr-hsp.com まで電子メールでお送りください。
       @は半角に書き換えてください。
最終更新日 : 2026/04/13