世話人

事業計画

研修会・セミナー

実技講習会

学術集会

ベスト・イメージング・コンテスト



 

ザ・ベストイメージング・コンテスト優秀作品

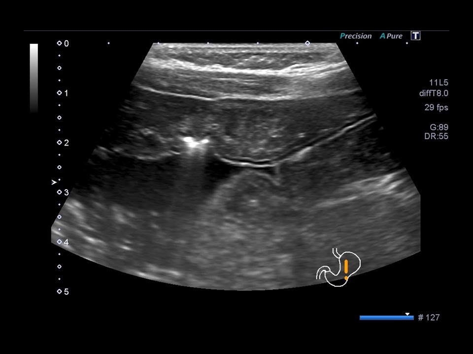
第13回 2022年

最優秀賞
 
 岩田 好隆 
東京女子医科大学付属足立医療センター

診断名急性胃粘膜性病変および胃潰瘍疑い
患者:10歳代 男性
使用機種:Canon Aplio 400
周波数:8.0 MHz
コメント(術者の一言)
 胃体部から幽門部にかけ全周性の著明壁肥厚(第3層中心)と前壁には高輝度エコーを認め、急性胃粘膜性病変と潰瘍形成を疑いました。
(エコー後施行の胃内視鏡と病理でも同様の結果で、壁肥厚と潰瘍の存在部位がほぼ正解できたことがうれしかったです。)


優秀賞
 
 
横田 はるな飯田市立病院

診断名:HCC再発
患者:70歳代 男性
使用機種:
Canon Aplio 500
周波数:6.0MHz
コメント(術者の一言)
 
胆嚢壁が圧排されており、その部分を高周波プローブで観察すると、薄い辺縁低エコー帯を伴う腫瘤を見つけることができました!


特別賞
 
 
東條 裕美子 大久保健診センター

診断名限局性結節性過形成
患者:30歳代 女
使用機種:
Canon Aplio i600
周波数:4.0MHz
コメント(術者の一言)
 
Advanced Dynamic Flow(ADF)にて、車幅状の血流信号を描出できました。


特別賞
 
 
黒木 亜実 日本大学医学部附属板橋病院

診断名膵癌
患者:70歳代 男性
使用機種:
FUJIFILM ARIETTA850
周波数:8.0MHz
コメント(術者の一言)

 膵体部の低エコー腫瘤。不整形で境界不明瞭、主膵管の途絶、尾側膵管の不整な拡張、といった浸潤性膵管癌の典型所見が一枚で分かるように撮影しました。



この Web サイトに関するご質問やご感想などについては  kensa.gazou@kanto-ctr-hsp.com まで電子メールでお送りください。
       @は半角に書き換えてください。
最終更新日 : 2026/01/13